₹9,999/- Only
Your vitals and history are reviewed, and fasting is advised. Local anesthesia is prepped at the insertion site.
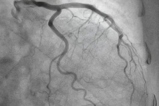
A catheter is inserted through the groin or wrist artery to access heart vessels.
Contrast dye is injected, and X-ray images track the blood flow in real-time.
Findings are shared immediately. If a blockage is found, treatment like angioplasty may be done on the spot.